Published Reviews
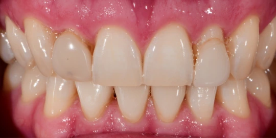
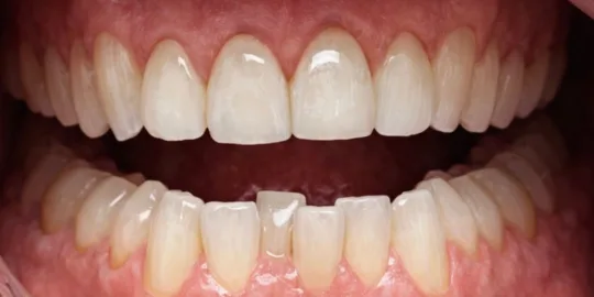
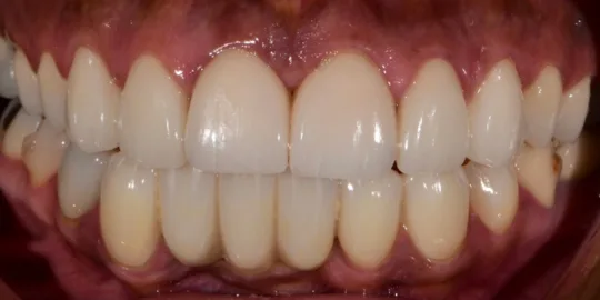
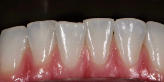
At Zen Dentistry, we have been providing top-tier dental care in New York. Our modern NY offices are equipped with advanced technology to ensure comfort and exceptional results. Whether you need a routine exam, cosmetic enhancements, or emergency dental care, our experienced team is here to help.
I will be honest I have never been a fan of the dentist but this entire team is so professional and kind. I was able to go through my cavity filling process with care and breaks to help alleviate the stress of getting a filling.
From a financial standpoint; I recommend Zen Dentistry because Miguel (he’s great) is willing to look into your dental insurance and get you a treatment plan that aligns with your personal and financial needs.
Shefali P. | YELP
21. February, 2026.
Very nice staff made my daughter feel very comfortable and did an amazing job with her teeth. Definitely recommend.
Dilenia U. | ZOCDOC
21. February, 2026.
I had a great experience at this dental office! Dr. Malhotra was very helpful and thorough in pointing out the areas I needed to improve, including three fillings. I was able to get one done today, and it was quick and comfortable. The receptionist, Wocelyn, was also amazing and worked with me to schedule my next two fillings for the new year at a more affordable price. I’ll also be getting four crowns done with Dr. Malhotra, and I’m very excited for the next steps.
Betsy DeJesus | GOOGLE
21. February, 2026.
It’s my third time here and I love seeing Dr. Malhotra (dentist) and Princess (front desk)! The staff here is beyond and know my fear of dental procedures so the fact that they as a team could keep me calm and comfortable while doing a crown on my back molar is award worthy. I also got fitted for a customized night guard because I have TMJ from grinding my teeth while I sleep.
Marla F. | YELP
21. February, 2026.
Great experience! Knowledgeable, friendly, and efficient. Would highly recommend and will be back again!
Sanat V. | ZOCDOC
21. February, 2026.
Dr. Liang is an amazing dentist. She is very attentive, efficient, and caring. She takes the time to explain everything and answers every question patiently, making the entire experience stress-free. Highly recommend
Beatrise | GOOGLE
21. February, 2026.
Always a great experience at Zen dentistry. Very clean office and exceptionally friendly staff. Emily and Sasha up front are wonderful. Kiera is gentle and kind. Dr. Tan is the man!
Eric S. | YELP
21. February, 2026.
Great office and clean. The doctor was very informative and patient.
Fama Marissa A. | ZOCDOC
21. February, 2026.
I really enjoyed my experience of going to this dentistry! I haven’t been to the dentist in a year so I was a bit nervous, but Dr. Schmidt was so kind and knowledgeable, and I immediately felt more confident about my teeth and how to improve my dental hygiene. Thank you!!
Chloe Bush | GOOGLE
21. February, 2026.
Quick and easy. Love this place they are the best and make sure I’m right before I leave. Very mindful, very demure. Cynthia really did her thing and I appreciate her and this establishment.
Andrea M. | YELP
21. February, 2026.
The doctor is so compassionate and he understands the needs of the patient. I was in so much pain and haven’t had pain for a couple months. He took care of me and I love feeling so much better.
Monique T. | ZOCDOC
21. February, 2026.
Dr. Malhotra! THANK YOU! I can not thank this man enough! I have been terrified of the dentist my entire life and this was an experience that erased my fears! I had a double root canal- I was having a literal panic attack and he was AMAZING! My fears were put to rest- from the comfort of the office ( thank you weighted blanket and music to listen to!) to the staff who are all great
Vivian | GOOGLE
21. February, 2026.
I’ve been coming to Zen Dentistry for years. Dr M and his staff have always attentive and kind. I just finished my Invisaligns and had great results. It tokk about 6 months and was easy to change the trays every 2 weeks. Even when I had concerns during the process, Dr M would answer questions and put my mind at ease. Highly recommend this office!
Abby A. | YELP
21. February, 2026.
Zen Dentistry is above and beyond the best dental practice I have ever gone to! I had a very traumatic dental emergency that they handled swiftly and expertly. I was extremely well taken care of — Dr. Malhotra was incredible — kind, patient, knowledgeable and has an eye for detail and perfection
Damaris C. | ZOCDOC
21. February, 2026.
Genuinely a joy to visit Zen dentistry. I’ve had nothing but wonderful experiences with the front staff, dental hygienists, and dentist. I feel well-informed and taken care of when I’m here. I can’t recommend this place enough! It’s very rare that I look forward to appointments, but I can confidently say that I look forward to coming back every single time. So friendly & professional.
Dellynn Prince-Travis | GOOGLE
21. February, 2026.
Everyone was so so polite and welcoming! after my x-rays i got a nice refreshing under eye mask while i waited! The tech even offered to hold my hand during the endo ice part which was so sweet.
They seem very aware of people with big feelings and listen really well to the patients!
They seem very aware of people with big feelings and listen really well to the patients!
Sierra R. | YELPE
21. February, 2026.
I’ve been to a few dentists before but Zen Dentistry was amazing. Dr. Malhotra did a root canal and it was very smooth. Such a nice energy in the office with their team! Would recommend it to all my family and friends.
JM | ZOCDOC
21. February, 2026.
My experience at Zendentistry was great. The staff were very friendly and courteous. The doctor was attentive and extremely helpful. This is the first time I ever felt comfortable going to the dentist. I’ve already recommended Zendentistry to my a coworker who is also looking for a new place
Carmen | GOOGLE
20. February, 2026.
I made the appointment a week ago and j was able to come right in. The cleaning was quick and painless and the staff is beyond wonderful. This was a painless and comfortable visit and I highly recommend anyone who is looking for a dentist office to come here.
James C. | YELP
5. January, 2026.
Dr. M is hands down the best dentist I’ve ever had. He’s professional, gentle, and really takes the time to explain everything. The staff is friendly, the office is clean, and I always feel comfortable and well taken care of. I highly recommend him to anyone looking for quality dental care.
Navpreet Singh | ZOCDOC
5. January, 2026.
I’m typically someone who is terrified of the dentist & it’s always scary trying out a new spot. The entire team here was amazing.. the front desk was so kind & warm. Dr. S did an incredible cleaning. And Dr R. was great and very calm/knowledgeable. If you are looking for a new dentist, I could not recommend more!!
Grace Decker | GOOGLE
5. January, 2026.
My trusted dental provider for the last 6 years! Efficient and gentle. My teeth have been able to remain beautiful and healthy.
Jermaine L. | YELP
5. January, 2026.
Dr. M and the hygienist were so thorough with my teeth cleaning and treatment plan and there was no wait time! The front desk staff was all’s very helpful with explaining my treatment plan and payment needed. Would definitely recommend.
Omil X. | ZOCDOC
5. January, 2026.
This is a dental practice par excellence. Professional, courteous, and knowledgeable, they exude exemplary patient care. You leave feeling pampered, refreshed with an overall sense of good oral health. Kudos to Dr. C and team. I recommend them highly.
Sharon Jack | GOOGLE
5. January, 2026.